Cat Achilles Partial Tear


Pdf Repair Of Achilles Tendon Rupture In 13 Dogs And 4 Cats Using

Pdf Repair Of Achilles Tendon Rupture In 13 Dogs And 4 Cats Using

Custom Cat Leg Brace Stifle Carpal Tarsal Animal Ortho Care

Custom Cat Leg Brace Stifle Carpal Tarsal Animal Ortho Care

Seared Salmon Helps Save Me From Being A Lame Husband Old Town Home

Seared Salmon Helps Save Me From Being A Lame Husband Old Town Home

Https Encrypted Tbn0 Gstatic Com Images Q Tbn 3aand9gcrrtvlak3vb2xhqmg1swfchwg1qaxsggkhs7qtdx8d76kqjvwun Usqp Cau

Https Encrypted Tbn0 Gstatic Com Images Q Tbn 3aand9gcrrtvlak3vb2xhqmg1swfchwg1qaxsggkhs7qtdx8d76kqjvwun Usqp Cau

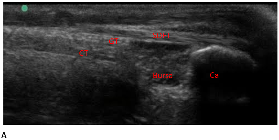
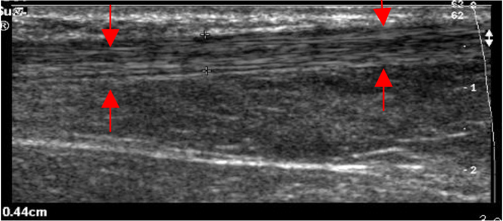
6 7 3 Partial Achilles Tendon Ruptures Ultrasound Cases

6 7 3 Partial Achilles Tendon Ruptures Ultrasound Cases